-
[ 목차 ]
결핵 전염성의 기본 원리
결핵은 결핵균에 의해 발생하는 대표적인 공기 전파 감염병입니다. 이 균은 공기 중 미세한 침방울, 즉 비말핵을 통해 사람 사이를 이동합니다. 활동성 폐결핵 환자가 기침이나 재채기를 하거나 심지어 대화를 하는 동안에도 결핵균이 포함된 작은 비말핵이 공기 중으로 퍼져 나가게 됩니다. 이렇게 떠다니는 비말핵은 다른 사람이 숨을 들이쉴 때 폐 속으로 들어가 감염을 일으킬 수 있습니다.

하지만 결핵균에 감염되었다고 해서 모두가 전염을 일으키는 것은 아닙니다. 결핵의 전염성은 결핵균이 실제로 활동하고 있는지, 환자가 어떤 치료를 받고 있는지, 그리고 주변 환경의 통풍 상태나 환자의 기침 강도 등 여러 요인에 따라 달라집니다. 예를 들어, 활동성 결핵 환자라 하더라도 적절한 항결핵제 치료를 시작하면 대부분 2주 정도면 전염성이 급격히 낮아집니다. 치료가 시작된 이후에는 결핵균이 외부로 거의 배출되지 않기 때문에, 환자는 주변 사람에게 감염을 전파할 위험이 거의 사라지게 됩니다.
반대로, 결핵균이 몸속에 잠복해 있으나 증상이 없는 잠복결핵감염자는 전혀 전염성이 없습니다. 이들은 체내에 소수의 결핵균이 비활성화된 상태로 존재하지만, 외부로 균을 배출하지 않습니다. 따라서 함께 생활하더라도 감염이 전파되지 않습니다. 이런 점에서 결핵은 단순히 감염과 전염을 구분해서 이해하는 것이 중요합니다. 결핵균에 감염된 것과 실제로 다른 사람에게 병을 옮길 수 있는 전염 상태는 서로 다른 단계이기 때문입니다.
결국 결핵 전염의 핵심 원리는 공기 중 전파와 환자의 상태, 그리고 치료 여부에 달려 있습니다. 조기 진단과 꾸준한 치료는 결핵 전파를 차단하는 가장 효과적인 방법이며, 이는 개인의 건강뿐 아니라 공동체의 안전을 지키는 첫걸음이 됩니다.
활동성 폐결핵의 전염 경로와 요인
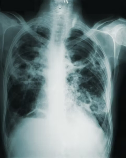
활동성 폐결핵은 결핵균이 실제로 폐 속에서 증식하며 염증을 일으키는 상태로, 다른 사람에게 결핵균을 전파할 수 있는 전염원을 의미합니다. 이런 환자가 기침이나 재채기, 말을 하거나 심호흡을 하는 경우 결핵균이 포함된 미세한 침방울이 공기 중으로 배출됩니다. 이 침방울은 눈에 보이지 않을 정도로 작지만 공기 중에 오랫동안 떠 있을 수 있어, 환자와 밀폐된 공간에서 장시간 함께 있으면 감염 위험이 높아집니다.

특히 결핵 전염 위험을 높이는 요인에는 몇 가지가 있습니다.
우선, 환자의 객담(가래)에 포함된 결핵균의 농도가 높을수록 감염 가능성도 커집니다. 결핵균이 많이 배출될수록 주변 공기에 노출되는 양이 많아지고, 그만큼 감염자도 늘어날 수 있습니다. 또, 환자가 기침이나 재채기를 자주 하거나 그 강도가 셀수록 결핵균이 더 멀리 퍼질 수 있습니다.
환경적인 요인도 매우 중요합니다. 환기가 제대로 되지 않는 밀폐된 공간에서는 결핵균이 공기 중에 오랫동안 머물 수 있습니다. 반면, 공기가 자주 순환되고 환기가 잘 이루어지는 환경에서는 결핵균이 빠르게 희석되어 감염 위험이 낮아집니다.
여기에 접촉자의 면역 상태도 큰 영향을 미칩니다. 영유아나 고령자, 혹은 면역이 저하된 사람은 결핵균에 노출될 경우 감염될 확률이 높습니다.



또 하나 주의할 점은 환자가 아직 치료를 시작하지 않았거나, 치료 초기 단계에 있을 때 전염성이 가장 높다는 사실입니다. 항결핵제를 복용하기 전에는 결핵균이 활발하게 증식하고 배출되지만, 치료가 시작된 후 2주 정도 지나면 전염성이 급격히 떨어집니다. 결국 결핵은 치료를 늦출수록 주변 사람들에게 위험을 높이지만, 조기 진단과 치료만으로 충분히 전염을 막을 수 있는 질병입니다.
잠복결핵의 전염 여부와 관리
많은 사람들이 잠복결핵도 전염이 되나요?라고 묻습니다. 결론부터 말하면, 잠복결핵감염자는 전염성이 전혀 없습니다. 잠복결핵은 결핵균이 체내에 존재하지만 면역체계의 통제 아래 비활성 상태로 머무는 단계입니다. 따라서 기침이나 재채기, 대화 등을 통해 결핵균이 외부로 배출되지 않습니다. 이런 이유로 잠복결핵 환자와 일상적으로 함께 생활하거나 식사를 해도 감염될 위험은 없습니다.

다만 잠복결핵이 완전히 안전한 상태라고 단정할 수는 없습니다. 몸속의 결핵균이 면역력 저하 등의 이유로 다시 활동을 시작하면 활동성 결핵으로 진행할 수 있기 때문입니다. 일반적으로 잠복결핵 감염자의 약 5~10%가 평생 한 번쯤은 활동성 결핵으로 발병할 수 있다고 알려져 있습니다. 특히 당뇨병, 신장질환, 면역억제 치료 중이거나 영양 상태가 좋지 않은 사람은 위험이 더 높습니다.
이러한 이유로, 잠복결핵이 진단되면 의료진은 예방적 치료를 권장합니다. 잠복결핵 치료는 활동성 결핵으로의 진행을 막기 위한 중요한 과정이며, 표준 치료를 완료하면 최대 90%까지 결핵 발병을 예방할 수 있습니다. 치료를 받을 때는 정기적인 건강 검진을 통해 부작용을 관리하고, 의사의 처방에 따라 약을 꾸준히 복용하는 것이 중요합니다.
또한 평소에는 충분한 영양 섭취, 규칙적인 운동, 스트레스 관리, 금연 등 면역력을 유지하는 생활습관이 필요합니다. 만약 발열, 지속적인 기침, 체중 감소와 같은 결핵 의심 증상이 나타난다면, 지체하지 말고 의료기관을 방문하여 검사를 받는 것이 좋습니다.
결핵 전염 예방을 위한 실질적 대책
결핵 전염을 예방하기 위해서는 무엇보다 감염원 차단과 면역력 관리가 핵심입니다. 활동성 결핵 환자는 조기에 진단받고 항결핵제 치료를 빠르게 시작해야 합니다. 치료를 시작한 후 2주가 지나면 대부분의 환자에서 전염성이 사라지므로, 치료의 시기와 지속성이 매우 중요합니다. 치료를 중단하거나 약을 불규칙하게 복용하면 내성균이 생기고, 다시 전염 가능성이 높아지므로 꾸준한 복약이 필수적입니다.



또한 결핵균은 공기 중으로 전파되기 때문에 마스크 착용과 환기 관리가 큰 도움이 됩니다. 환자 본인이 KF94나 N95급 마스크를 착용하면 결핵균 배출량을 줄일 수 있으며, 가족이나 의료진도 마스크로 2차 감염을 예방할 수 있습니다. 실내에서는 공기 정체를 막기 위해 창문을 자주 열거나 환기 장치를 사용해야 하며, 햇빛을 자주 들이는 것도 결핵균 사멸에 효과적입니다.
활동성 결핵 환자가 발생한 경우에는 가족이나 직장 동료 등 밀접 접촉자에 대한 결핵 검진과 잠복감염 검사가 이루어져야 합니다. 흉부 X선, 객담 검사, 혹은 결핵감염검사를 통해 감염 여부를 확인하고, 잠복결핵이 발견되면 예방 치료를 병행해야 합니다.



마지막으로, 면역력을 강화하는 것이 결핵 예방의 기초입니다. 충분한 수면과 균형 잡힌 식사, 규칙적인 운동, 그리고 금연은 모두 결핵균에 대한 저항력을 높이는 생활 습관입니다. 결핵은 결코 과거의 병이 아닙니다. 여전히 전 세계적으로 많은 환자가 발생하고 있지만, 올바른 치료와 생활 관리만으로 충분히 예방 가능한 질병입니다. 조기 진단과 꾸준한 치료, 그리고 건강한 생활 습관이 결핵 없는 사회로 나아가는 가장 확실한 길입니다.